Τι είναι
Η κλασσική στεφανιογραφία είναι μια επεμβατική (αιματηρή), διαγνωστική πράξη η οποία αποσκοπεί στη διάγνωση της ύπαρξης στενώσεων στις αρτηρίες που αιματώνουν την καρδιά. Οι αρτηρίες αυτές ονομάζονται στεφανιαίες, γι’αυτό και η πράξη ονομάζεται στεφανιογραφία, και είναι δύο, η δεξιά και η αριστερή. Η στεφανιογραφία εκτελείται από εξειδικευμένους στο αντικείμενο καρδιολόγους σε νοσοκομειακό περιβάλλον που διαθέτει αιμοδυναμικό εργαστήριο.
Πως γίνεται
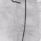
Για τη διενέργεια της στεφανιογραφίας απαιτείται η έγχυση ιωδιούχου σκιαγραφικού μέσα στις στεφανιαίες αρτηρίες και εν συνεχεία η λήψη εικόνων, δίκην απλής ακτινογραφίας, από πολλαπλές γωνίες προβολής, ώστε να μελετηθεί αναλυτικά το δίκτυο αιμάτωσης της καρδιάς.

Έγχυση σκιαγραφικού διαμέσου καθετήρων σε φυσιολογικές στεφανιαίες αρτηρίες: a. δεξιά στεφανιαία αρτηρία και b. αριστερή στεφανιαία αρτηρία.
Η έγχυση του σκιαγραφικού γίνεται διαμέσου καθετήρων που προωθούνται ενδοαγγειακά στα στεφανιαία αγγεία, αφού πρώτα εισαχθούν στο σώμα από περιφερικές αρτηρίες στον καρπό (συνήθως) η στο μηρό (σπανιότερα) (σημεία πρόσβασης).
Οι καθετήρες είναι εξαιρετικά εύκαμπτοι πλαστικοί σωλήνες με συνηθισμένο μήκος περι το 1 μέτρο και εξωτερική διάμετρο που κυμαίνεται από 2 ως 4 χιλιοστά.
Η αρχική εισαγωγή των καθετήρων στις περιφερικές αρτηρίες γίνεται διαμέσου ενός μικρού πλαστικού σωλήνα διαμέτρου ανάλογης με αυτή του καθετήρα που θα χρησιμοποιηθεί για τη στεφανιογραφία και μήκους μερικών εκατοστών. Ο μικρός αυτός πλαστικός σωλήνας ονομάζεται θηκάρι και εισάγεται στην περιφερική αρτηρία (σημείο πρόσβασης) μετά από εφαρμογή αντισηψίας, χορήγηση τοπικής αναισθησίας και δημιουργία μιας μικρής τομής στο δέρμα. Αυτό είναι και το μόνο στάδιο της διαδικασίας κατά το οποίο ο ασθενής μπορεί να αισθανθεί μια ελαφρά ενόχληση, που αντιστοιχεί σε 2-3 τρυπήματα αντίστοιχα με αυτά που βιώνει κάποιος κατά τη διάρκεια μιας απλής αιμοληψίας. Όλη η υπόλοιπη εξέταση είναι υπο κανονικές συνθήκες εντελώς ανώδυνη, και ο χειρισμός των καθετήρων εντός του σώματος κατά τη διάρκεια της εξέτασης δεν γίνεται αντιληπτός ως αίσθηση από τον ασθενή.


Σημεία πρόσβασης για τη διενέργεια στεφανιογραφίας
Σε ασθενείς με κλασσική ανατομία αγγείων (απουσία ανατομικών παραλλαγών η αγγειακών μοσχευμάτων σε ασθενείς με επέμβαση by-pass), ο αμιγής χρόνος της εξέτασης διαρκεί λίγα λεπτά. Κατά τη διάρκεια της εξέτασης ο ασθενής βρίσκεται ξαπλωμένος και ακίνητος στο ιατρικό τραπέζι του αιμοδυναμικού εργαστηρίου, ενώ γύρω από το άνω μέρος του σώματος του περιστρέφεται σε διάφορες γωνίες μια επίπεδη λυχνία διαμέτρου μπάλας ποδοσφαίρου (προσκολλημένη σε μια περιστρεφόμενη μεταλλική αψίδα) που λαμβάνει τις εικόνες.
Η συνολική διάρκεια της εξέτασης από την είσοδο του ασθενούς στο αιμοδυναμικό εργαστήριο μέχρι την αποχώρηση του κυμαίνεται αδρά γύρω στα 30 λεπτά. Ο χρόνος αυτός καθορίζεται στο μεγαλύτερο μέρος του από την απαραίτητη προετοιμασία πριν την έναρξη της κυρίως εξέτασης, που περιλαμβάνει την τοποθέτηση του ασθενούς στο τραπέζι, την κάλυψη του από αποστειρωμένα καλύμματα και την προετοιμασία των υλικών και συσκευών που θα χρησιμοποιηθούν.
Ποια είναι τα οφέλη
Η στεφανιογραφία δεν αποτελεί θεραπεία και ο ασθενής δεν θα παρατηρήσει καμία βελτίωση σε τυχόν συμπτώματα που υπήρχαν πριν την στεφανιογραφία μετά την ολοκλήρωση της. Σκοπός της στεφανιογραφίας είναι να παρέχει πληροφορίες σχετικά με την παροχή αίματος στην καρδιά, οι οποίες θα επιτρέψουν στον καρδιολόγο να αποφασίσει για την καλύτερη θεραπεία για τον ασθενή.
Στο τέλος της εξέτασης, ο ιατρός θα ενημερώσει τον ασθενή για τα ευρήματα της εξέτασης και τον προτεινόμενο τρόπο αντιμετώπισης τους. Γενικά, μετά το τέλος της στεφανιογραφίας υπάρχουν 3 σενάρια:
- Τα στεφανιαία αγγεία είναι τελείως ελεύθερα στενώσεων ή έχουν μόνο ήπιες στενώσεις, οπότε και δεν χρειάζονται περαιτέρω επεμβατικές πράξεις, πλην πιθανώς της κατάλληλης φαρμακευτικής αγωγής.
- Τα στεφανιαία αγγεία έχουν μία η περισσότερες σημαντικές στενώσεις που μπορούν να αντιμετωπιστούν με τη διενέργεια αγγειοπλαστικής (συνήθως με τοποθέτηση stent και σπανιότερα μόνο με «μπαλονάκι») και η οποία διενεργείται συνήθως αμέσως μετά την ολοκλήρωση της στεφανιογραφίας.
- Τα στεφανιαία αγγεία έχουν εκτεταμένη νόσο η νόσο σε πολύ κομβικά η τεχνικά δύσκολο να αντιμετωπιστούν σημεία, όπου η επέμβαση αορτο-στεφανιαίας παράκαμψης (by-pass) σε δεύτερο χρόνο, είναι η καταλληλότερη λύση για τον ασθενή.
Ποιοι είναι οι κίνδυνοι
Η στεφανιογραφία είναι μια εξέταση που πραγματοποιείται καθημερινά σε χιλιάδες ασθενείς ανα τον κόσμο και θεωρείται μια αρκετά ασφαλής επεμβατική πράξη. Ο κίνδυνος σοβαρών επιπλοκών είναι γενικά μικρότερος από 0,5% . Αυτοί οι κίνδυνοι είναι μεγαλύτεροι σε ορισμένες περιπτώσεις, όπως για παράδειγμα όταν η στεφανιογραφία γίνεται στα πλαίσια επείγοντος περιστατικού (π.χ. κατά τη διάρκεια οξέος εμφράγματος του μυοκαρδίου) ή όταν ένας ασθενής έχει σοβαρές συνυπάρχουσες παθήσεις. Σε ασθενείς με προχωρημένη καρδιακή νόσο ή άλλα σημαντικά ιατρικά προβλήματα, μπορεί να εμφανιστούν περιστασιακά επιπλοκές ακόμη και όταν η στεφανιογραφία πραγματοποιείται από τον πλέον έμπειρο και εξειδικευμένο καρδιολόγο.
Ο κίνδυνος επιπλοκών ποικίλλει από ασθενή σε ασθενή ανάλογα με τις λεπτομέρειες της κατάστασής του. Οι σημαντικότερες επιπλοκές που μπορούν να εμφανιστούν κατά την διάρκεια μιας στεφανιογραφίας περιλαμβάνουν:
- Βλάβες στην αρτηρία στο πόδι ή στο χέρι όπου έχουν τοποθετηθεί τα θηκάρια. Αυτές συνήθως περιορίζονται σε τοπικές εκχυμώσεις η αιματώματα που υποχωρούν αυτομάτως ενώ σε σπάνιες περιπτώσεις σοβαρότερων αγγειακών επιπλοκών μπορεί να απαιτηθεί μετάγγιση αίματος και επεμβατική-χειρουργική αντιμετώπιση.
- Μείωση της νεφρικής λειτουργίας. Το σκιαγραφικό μέσο που χρησιμοποιείται στη στεφανιογραφία μπορεί σε σπάνιες περιπτώσεις να προκαλέσει έκπτωση της νεφρικής λειτουργίας. Το φαινόμενο αυτό συνήθως παρατηρείται σε ασθενείς με προυπάρχουσα νεφρική νόσο και είναι παροδικό.
- Αλλεργική αντίδραση στο σκιαγραφικό, που μπορεί να κυμαίνεται από ήπιες εκδηλώσεις με ανάπτυξη δερματικού εξανθήματος ως την εξαιρετικά σπάνια ανάπτυξη αληθούς αλλεργικού shock, που μπορεί να απαιτήσει ενδοφλέβια φαρμακευτική αγωγή και διασωλήνωση.
- Βλάβη σε μείζονα στεφανιαία αρτηρία, η οποία μπορεί να προκαλέσει είτε απόφραξη, είτε διαχωρισμό, είτε διάτρηση του αγγείου. Οι επιπλοκές αυτές μπορεί να απαιτήσουν επείγουσα αντιμετώπιση που μπορεί να περιλαμβάνει μεταξύ άλλων περικαρδιοπαρακέντηση και επέμβαση ανοικτής καρδιάς.
- Αγγειακό εγκεφαλικό επεισόδιο.
- Θάνατο
Η συχνότητα εμφάνισης αυτών των επιπλοκών ανα 100 ασθενείς (%), σύμφωνα με στοιχεία που προέρχονται από τη βάση δεδομένων της Αμερικανικής Καρδιολογικής Εταιρείας (American College of Cardiology National Cardiovascular Data Registry (ACC-NCDR)), περιγράφεται αναλυτικά στον πίνακα που ακολουθεί.

Ποιες είναι οι εναλλακτικές
Υπάρχει ένας εναλλακτικός τρόπος για να πραγματοποιηθεί μια στεφανιογραφία, με τη χρήση αξονικής τομογραφίας θώρακα (CT). Η αξονική στεφανιογραφία δείχνει επίσης την ύπαρξη στενώσεων στις αρτηρίες που αιματώνουν την καρδιά, παρόμοια με μια παραδοσιακή στεφανιογραφία. Ωστόσο, σε αυτή τη μορφή στεφανιογραφίας, το ιωδιούχο σκιαγραφικό χορηγείται σε μία μικρή φλέβα στο χέρι του ασθενούς και όχι απευθείας στις στεφανιαίες αρτηρίες διαμέσου καθετήρων που εισάγονται σε αρτηρία. Αυτό καθιστά την εξέταση λιγότερο επεμβατική από μια παραδοσιακή αγγειογραφία, εξ ‘ου και η ευρέως χρησιμοποιούμενη ονομασία της ως «αναίμακτη στεφανιογραφία». Γενικά, η αξονική στεφανιογραφία δεν είναι εξίσου αποτελεσματική στην ανίχνευση στενώσεων σε μικρούς κλάδους των κύριων στεφανιαίων αρτηριών, σε διακλαδώσεις και προυπάρχοντα stent, ενώ η εξέταση δέν είναι εφικτή σε όλους τους ασθενείς (πχ ασθενείς με έντονες επασβεστώσεις των στεφανιαίων αγγείων η σημαντικές αρρυθμίες). Η κλασσική στεφανιογραφία εξακολουθεί να είναι ο καλύτερος τρόπος διάγνωσης της στεφανιαίας νόσου. Ο γιατρός σας θα συζητήσει μαζί σας τους ιδιαίτερους κινδύνους και τα οφέλη καθεμίας μεθόδου.
Τι συμβαίνει μετά από την ολοκλήρωση της
Μετά τη στεφανιογραφία, ο ασθενής παραμένει είτε σε μονάδα ανάρρωσης είτε στο θάλαμο του, για διάστημα που εξαρτάται από το σημείο πρόσβασης που χρησιμοποιήθηκε για τη στεφανιογραφία. Κατά τη διάρκεια αυτής της περιόδου, γίνεται περιοδικός έλεγχος του σφυγμού και της αρτηριακής του πίεσης, ενώ ο ασθενής μπορεί να τρώει και να πίνει όπως συνήθως.
Αν το θηκάρι είχε τοποθετηθεί σε αρτηρία του καρπού, όπως γίνεται συνήθως, αμέσως μετά το τέλος της εξέτασης το θηκάρι αφαιρείται και παράλληλα τοποθετείται ενας πιεστικός μηχανισμός δίκην βραχιολιού γύρω από το σημείο πρόσβασης μέχρι την επούλωση του τραύματος στην αρτηρία πρόσβασης. Ο ασθενής είναι ελεύθερος να κινείται αμέσως μετά την τοποθέτηση του πιεστικού μηχανισμού, ο οποίος ανα τακτά διαστήματα χαλαρώνεται μέχρι να μπορεί να αφαιρεθεί πλήρως. Η όλη διαδικασία κρατάει συνήθως 2-4 ώρες και εν συνεχεία ο ασθενής μπορεί να γυρίσει σπίτι του, φέροντας ένα μικρό αυτοκόλλητο επίδεσμο που μπορεί να αφαιρεθεί αργότερα την ίδια ημέρα και οδηγίες για αποφυγή έντονης χρήσης του χεριού που χρησιμοποιήθηκε για τις επόμενες 24 ώρες.

Πιεστική συσκευή δίκην βραχιολιού για την σύγκλειση της τομής στην κερκιδική αρτηρία μετά την αφαίρεση του θηκαριού με λειτουργία αεροθαλάμου.
Εάν ο καθετήρας έχει εισαχθεί στη βουβωνική χώρα, ο ιατρός μπορεί να επιλέξει μετα την αφαίρεση του θηκαριού, είτε την παρατεταμένη άσκηση πίεσης στο σημείο πρόσβασης μέχρι την επίτευξη αιμόστασης (10 ως 15 λεπτά), είτε τη χρήση κάποιας από τις πολλές συσκευές σύγκλεισης που υπάρχουν διαθέσιμες στο εμπόριο για το άμεσο κλείσιμο της τομής στην αρτηρία πρόσβασης. Και στις δύο περιπτώσεις, ο ασθενής θα πρέπει στη συνέχεια να παραμείνει ξαπλωμένος στο κρεββάτι του για μερικές ώρες και εν συνεχεία να αποχωρήσει από το νοσοκομείο, με αντίστοιχες οδηγίες όπως και στην περίπτωση της πρόσβασης από αρτηρία του καρπού. Ο συνήθης χρόνος παραμονής στο κρεββάτι μετα από σύγκλειση του σημείου της αρτηριακής τομής με άσκηση πίεσης είναι 4-8 ώρες, ενώ με τη χρήση συσκευής σύγκλεισης ο χρόνος αυτός είναι σημαντικά μικρότερος.
